Skip to content Skip to sidebar Skip to footer

Can The Brain Heal Itself After A Stroke : It requires your help to activate it.

Can The Brain Heal Itself After A Stroke : It requires your help to activate it.. Scientists now know that the brain has an amazing ability to change and heal itself in response to mental experience. Immediately after a stroke, the first step the brain takes to heal itself is to swell up. Similar to when you scrape your knee, your brain undergoes an inflammatory response as the immune system brings in the big guns to clear up the mess resulting from the blockage or rupture and contain the damage done. How the brain can heal itself. Your brain does eventually heal itself.

The research was designed to explore recovery in acute stroke, the period immediately following a stroke — in mice, that period lasts five days; Foods like walnuts, flax seeds, and salmon play a major role in your brain health. However, this healing process cannot happen on its own. After the brain sustains trauma, it takes a lot of time and energy for it to heal. This ability, known as neuroplasticity, is why many stroke survivors go on to make astonishing recoveries.

Left Brain Vs Right Brain Stroke Cbchealth De
Left Brain Vs Right Brain Stroke Cbchealth De from cbchealth.de
The research was designed to explore recovery in acute stroke, the period immediately following a stroke — in mice, that period lasts five days; When the brain's primary learning center is damaged, complex new neural circuits arise to compensate for the lost function, say life scientists from ucla and australia who have pinpointed the regions of the brain involved in creating those alternate pathways — often far. The research is looking at ways to prime the brain to prepare it for more traditional therapy e.g. Strokes are the major cause of disability in adults, worldwide. When someone has a stroke or brain injury there are parts of the brain remote from the injuries that are on the same network. A patient should start rehabilitation as early as possible after a stroke. Similar to when you scrape your knee, your brain undergoes an inflammatory response as the immune system brings in the big guns to clear up the mess resulting from the blockage or rupture and contain the damage done. This neuroplasticity or brain plasticity is the more recent discovery that gray matter can actually shrink or thicken;

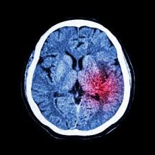
When the affected area of the brain stops receiving the blood that it needs.

A stroke is triggered when a blood vessel in the brain gets blocked or bursts. Some people who suffer a stroke can eventually recover fully, but not everyone. They initially shutdown, but over time they start to come back on line and we see recovery and return of function. This ability, known as neuroplasticity, is why many stroke survivors go on to make astonishing recoveries. Factors like smoking, atrial fibrillation and hypertension can increase the risk of having a stroke. Skin healing is completed by replacing the damaged/lost cells with new ones. Neural connections can be forged and refined or weakened and severed. Similar to when you scrape your knee, your brain undergoes an inflammatory response as the immune system brings in the big guns to clear up the mess resulting from the blockage or rupture and contain the damage done. No two strokes are alsike and recovery depends on how the brain itself can recover. Immediately after a stroke, the first step the brain takes to heal itself is to swell up. Damaged neurons start the process of healing themselves. Research shows that the brain possesses an extraordinary ability to heal itself after stroke. The research was designed to explore recovery in acute stroke, the period immediately following a stroke — in mice, that period lasts five days;

Brain rewires itself after damage or injury, life scientists discover. Damaged neurons start the process of healing themselves. Dieses & viele weitere englische bücher versandkostenfrei bei thalia bestellen! It requires your help to activate it. How the brain can heal itself.

Stroke Can The Brain Rewire Itself To Aid Recovery
Stroke Can The Brain Rewire Itself To Aid Recovery from post.medicalnewstoday.com
Next, carmichael and segura plan to investigate whether brain tissue can be regenerated in mice long after the stroke injury. This phenomenon, known as neuroplasticity, is considered to be one of the most important developments in modern science for our understanding of the brain. Research shows that the brain possesses an extraordinary ability to heal itself after stroke. This ability, known as neuroplasticity, is why many stroke survivors go on to make astonishing recoveries. In humans, it's two months. One day after head injury (left), bright dye along the edge of the brain suggests damage to the meninges, or the brain's protective lining. A patient should start rehabilitation as early as possible after a stroke. He is still improving 37 years after the stroke.

Research shows that the brain possesses an extraordinary ability to heal itself after stroke.

After a stroke, most survivors experience some degree of inflammation in the brain, analogous to swelling after an injury, such as the noticeably swollen lump after an injury to the arm or leg. Research shows that the brain possesses an extraordinary ability to heal itself after stroke. The results hold promise for eventual clinical applications that may spur brain repair after stroke. This puffiness, called edema, is part of the body's repair mechanism. Looking at brain tissue from mice, monkeys and humans, scientists have found that a molecule known as growth and differentiation factor 10 (gdf10) is a key player in repair mechanisms following stroke. And while much is known about. When someone has a stroke or brain injury there are parts of the brain remote from the injuries that are on the same network. This is what was traditionally performed in rehabilitation. That's more a matter of the brain rewiring itself around the damage. Changes in the physical brain manifest as changes in our abilities. Stabilization is the first step in recovering from a stroke. It requires your help to activate it. Brain rewires itself after damage or injury, life scientists discover.

The amount of recovery depends on many factors, including the part of the brain that is damaged, the size of the damaged area, and how well the brain's neuroplasticity processes work. And while much is known about. After 35 days (right), the dye no longer appears, indicating the meninges may have healed. It requires your help to activate it. No two strokes are alsike and recovery depends on how the brain itself can recover.

Left Brain Vs Right Brain Stroke Cbchealth De
Left Brain Vs Right Brain Stroke Cbchealth De from cbchealth.de
While many people have heard that brain tissue, once gone, can never be regained, new research suggests that might not be the case. After the brain sustains trauma, it takes a lot of time and energy for it to heal. It requires your help to activate it. However, this healing process cannot happen on its own. Skin healing is completed by replacing the damaged/lost cells with new ones. They initially shutdown, but over time they start to come back on line and we see recovery and return of function. The results hold promise for eventual clinical applications that may spur brain repair after stroke. Research shows that the brain possesses an extraordinary ability to heal itself after stroke.

Factors like smoking, atrial fibrillation and hypertension can increase the risk of having a stroke.

The results hold promise for eventual clinical applications that may spur brain repair after stroke. They initially shutdown, but over time they start to come back on line and we see recovery and return of function. After the brain sustains trauma, it takes a lot of time and energy for it to heal. Some people who suffer a stroke can eventually recover fully, but not everyone. Skin healing is completed by replacing the damaged/lost cells with new ones. Richard senelick discusses the process the brain undergoes after a stroke. Major wounds can heal with scarring. The findings suggest that gdf10 may be a potential therapy for recovery after stroke. Scientists now know that the brain has an amazing ability to change and heal itself in response to mental experience. A stroke occurs when a blood vessel in the brain is blocked or ruptured, depriving a portion of the brain of oxygen and causing the death of affected brain cells. Next, carmichael and segura plan to investigate whether brain tissue can be regenerated in mice long after the stroke injury. After a stroke, most survivors experience some degree of inflammation in the brain, analogous to swelling after an injury, such as the noticeably swollen lump after an injury to the arm or leg. However, this healing process cannot happen on its own.